সুস্থ ও মজবুত দাঁতের জন্য শুধু নিয়মিত ব্রাশ ও ফ্লস করাই যথেষ্ট নয়। অনেক সময় দাঁতের ক্ষয় (cavity) বিশেষ করে শিশুদের ও কিশোরদের ক্ষেত্রে খুব দ্রুত বৃদ্ধি পেতে পারে। এই সমস্যা প্রতিরোধে ডেন্টাল সিল্যান্ট (Dental Sealant) একটি কার্যকরী সমাধান। এটি দাঁতের উপর একটি সুরক্ষামূলক আবরণ তৈরি করে, যা ব্যাকটেরিয়া ও খাদ্যকণা জমা হওয়া রোধ করে এবং ক্যাভিটি প্রতিরোধে সহায়তা করে।

সিল্যান্ট কী?

সিল্যান্ট হল এক ধরনের পাতলা প্লাস্টিকের আবরণ, যা সাধারণত মোলার ও প্রি-মোলার দাঁতের উপর প্রয়োগ করা হয়। এই দাঁতগুলোর চর্বিযুক্ত ও গভীর খাঁজ থাকে, যেখানে খাদ্যকণা আটকে যেতে পারে এবং ব্যাকটেরিয়া জন্ম নিতে পারে। সিল্যান্ট এই অংশগুলোকে ঢেকে দেয়, ফলে দাঁতের ক্ষয় হওয়ার ঝুঁকি অনেক কমে যায়।

কেন সিল্যান্ট প্রয়োজন?

  • 🔹 দাঁতের ফাটল বা খাঁজে খাবার জমে ব্যাকটেরিয়া সৃষ্টি হয়, যা সময়ের সঙ্গে ক্ষয় সৃষ্টি করতে পারে।
  • 🔹 ছোট বয়সেই দাঁত ক্ষয়ের সমস্যা দেখা দিতে পারে, বিশেষ করে যাদের মুখের স্বাস্থ্যবিধি দুর্বল।
  • 🔹 দাঁতের ব্রাশ দিয়ে সবসময় গভীর খাঁজের মধ্যে পরিষ্কার করা সম্ভব হয় না, তাই সিল্যান্ট ক্যাভিটি রোধ করতে সাহায্য করে।

সিল্যান্ট কারা নিতে পারেন?

  • ৫-১৪ বছর বয়সী শিশুদের জন্য এটি সবচেয়ে বেশি কার্যকর।
  • ক্যাভিটি হওয়ার ঝুঁকি বেশি এমন ব্যক্তিদের জন্য উপযুক্ত।
  • যাদের মুখের স্বাভাবিক লালা উৎপাদন কম এবং দাঁত সহজেই ক্ষয়প্রবণ হয়।
  • প্রাপ্তবয়স্কদের ক্ষেত্রেও, যদি তাদের দাঁতের ফাটল বা গভীর খাঁজ থাকে, তাহলে সিল্যান্ট ব্যবহার করা যেতে পারে।

সিল্যান্ট বসানোর প্রক্রিয়া

সিল্যান্ট বসানোর পুরো প্রক্রিয়াটি সহজ, ব্যথাহীন ও দ্রুত সম্পন্ন হয়। এটি সাধারণত ৫-১০ মিনিটের মধ্যে একটি দাঁতে প্রয়োগ করা যায়।

  1. প্রথম ধাপ:
    ডেন্টিস্ট প্রথমে দাঁত পরিষ্কার করে এবং শুকিয়ে নেয়।
  2. দ্বিতীয় ধাপ:
    দাঁতের উপর একটি এসিডিক জেল লাগানো হয়, যা সিল্যান্টের ভালোভাবে আটকে থাকার জন্য দাঁতের পৃষ্ঠ প্রস্তুত করে।
  3. তৃতীয় ধাপ:
    কিছুক্ষণ পর এই জেল ধুয়ে ফেলা হয় এবং দাঁত আবার শুকিয়ে নেওয়া হয়।
  4. চতুর্থ ধাপ:
    এরপর তরল সিল্যান্ট দাঁতে প্রয়োগ করা হয় এবং এটি দাঁতের ফাটল বা খাঁজের মধ্যে প্রবাহিত হয়।
  5. পঞ্চম ধাপ:
    বিশেষ LED লাইট ব্যবহার করে সিল্যান্ট শক্ত করা হয়, যাতে এটি দীর্ঘস্থায়ী হয়।

সিল্যান্ট কতদিন টিকে থাকে?

সঠিকভাবে প্রয়োগ করা হলে সিল্যান্ট ৫-১০ বছর পর্যন্ত কার্যকর থাকতে পারে। তবে এটি মাঝেমধ্যে চেকআপ করানো প্রয়োজন, যাতে যদি কোনো অংশ ক্ষয়ে যায় বা উঠে যায়, তাহলে ডেন্টিস্ট সেটি পুনরায় লাগিয়ে দিতে পারেন।

সিল্যান্ট চিকিৎসার সুবিধা

  • দাঁত ক্ষয়ের ঝুঁকি কমায় - এটি ক্যাভিটি প্রতিরোধে কার্যকর।
  • দাঁতের গভীর খাঁজ ও ফাটল রক্ষা করে - যেখানে ব্রাশ পৌঁছাতে পারে না।
  • ব্যথাহীন ও সহজ পদ্ধতি - কোনো ইনজেকশন বা ড্রিলিং প্রয়োজন হয় না।
  • লম্বা সময় কার্যকর থাকে - দীর্ঘমেয়াদি প্রতিরক্ষা প্রদান করে।

সিল্যান্ট ও ফ্লোরাইডের পার্থক্য

অনেকেই প্রশ্ন করেন, সিল্যান্ট এবং ফ্লোরাইড ট্রিটমেন্টের মধ্যে পার্থক্য কী?

বিষয় সিল্যান্ট ফ্লোরাইড
প্রয়োগের স্থান দাঁতের চিবানোর অংশে পুরো দাঁতে
কাজের ধরন দাঁতের উপর ব্যারিয়ার তৈরি করে দাঁতের এনামেলকে শক্তিশালী করে
কার্যকারিতা ব্যাকটেরিয়া ও খাদ্য আটকে রাখা রোধ করে দাঁতকে ক্যাভিটির বিরুদ্ধে শক্তিশালী করে
লক্ষ্য শ্রেণী শিশু ও ক্যাভিটি ঝুঁকিপূর্ণ ব্যক্তি যেকোনো বয়সের মানুষ

সিল্যান্ট চিকিৎসার কোনো ঝুঁকি আছে কি?

সিল্যান্ট সাধারণত সম্পূর্ণ নিরাপদ এবং এর কোনো পার্শ্বপ্রতিক্রিয়া নেই। তবে কিছু ক্ষেত্রে:

  • যদি সিল্যান্ট ভেঙে যায় বা উঠে যায়, তাহলে সেটি পুনরায় লাগানো প্রয়োজন হতে পারে।
  • যাদের রেজিন বা প্লাস্টিকজাতীয় উপাদানে অ্যালার্জি আছে, তাদের ক্ষেত্রে এটি উপযুক্ত নাও হতে পারে।

সিল্যান্ট চিকিৎসার জন্য সেরা ডেন্টাল ক্লিনিক

যদি আপনি বা আপনার শিশু দাঁতের সুরক্ষার জন্য Sealant Treatment করাতে চান, তাহলে Namira Oro Dental Care, Bogura একটি নির্ভরযোগ্য ও অভিজ্ঞ প্রতিষ্ঠান। এখানে দক্ষ ডেন্টিস্টের তত্ত্বাবধানে আধুনিক প্রযুক্তি ব্যবহার করে উন্নত মানের চিকিৎসা প্রদান করা হয়।

শেষ কথা

আপনার দাঁতকে ক্যাভিটি থেকে রক্ষা করুন, সুন্দর হাসির মালিক হোন! 😊

আমাদের সেবা সমূহঃ

অর্থোডোনটিক চিকিৎসা (Orthodontic Treatment)

  • ফিক্সড ব্রেসেসের মাধ্যমে আঁকাবাঁকা দাঁত সোজা করা।
  • ইনভিজালাইন (অদৃশ্য ব্রেসেস) ব্যবহার করে দাঁত সোজা করা।
  • রিটেইনার ব্যবহার করে দাঁতের অবস্থান স্থায়ী করা।

ডেন্টাল ইমপ্ল্যান্ট (Dental Implant)

  • হারানো দাঁতের স্থানে প্রাকৃতিক দাঁতের মতো ইমপ্ল্যান্ট স্থাপন।
  • টাইটানিয়াম ইমপ্ল্যান্ট ব্যবহার করে দাঁতের স্থায়ী সমাধান।

রুট ক্যানাল ট্রিটমেন্ট (Root Canal Treatment)

  • দাঁতের অভ্যন্তরীণ সংক্রমণ বা ক্ষতির চিকিৎসা।
  • দাঁতের শিকড় পরিষ্কার ও সিল করা।

ক্যাপ ও ব্রীজ (Cap & Bridge)

  • ক্ষতিগ্রস্ত দাঁতের উপর ক্যাপ স্থাপন।
  • হারানো দাঁতের স্থানে ব্রীজ ব্যবহার করে দাঁত পুনঃস্থাপন।

ফ্লেক্সিবল ডেনচার (Flexible Denture)

  • স্বাভাবিক দাঁতের মতো ব্যবহারযোগ্য নরম ডেনচার।
  • আরামদায়ক এবং টেকসই সমাধান।

টুথ এক্সট্রাকশন (Tooth Extraction)

  • সাধারণ পদ্ধতিতে দাঁত উঠানো।
  • সার্জিকেল পদ্ধতিতে জটিল দাঁত উঠানো।

ফিলিং (Filling)

  • লাইট কিউর ফিলিং: আধুনিক পদ্ধতিতে দাঁতের গর্ত ভরাট করা।
  • কম্পোজিট ফিলিং: প্রাকৃতিক রঙের ফিলিং ব্যবহার করে দাঁতের সৌন্দর্য বজায় রাখা।

স্কেলিং ও পলিশিং (Scaling & Polishing)

  • দাঁতের প্লাক ও টার্টার পরিষ্কার করা।
  • দাঁত মসৃণ ও উজ্জ্বল করা।

টুথ হোয়াইটেনিং (Tooth Whitening)

  • লেজার টুথ হোয়াইটেনিং: দ্রুত ও কার্যকরী পদ্ধতি।
  • হোম ব্লিচিং: ঘরে বসে দাঁত সাদা করার পদ্ধতি।

মুখ ও মাড়ির চিকিৎসা (Gum & Oral Treatment)

  • মাড়ির রোগ (জিনজিভাইটিস, পেরিওডোন্টাইটিস) চিকিৎসা।
  • মুখের ক্ষত ও ঘা এর চিকিৎসা।

ওরাল সার্জারি (Oral Surgery)

  • দাঁত ও মুখ গহব্বরের টিউমার ও সিস্ট অপসারণ।
  • জটিল দাঁত উঠানো ও সার্জিকেল চিকিৎসা।

শিশুদের ডেন্টাল চিকিৎসা (Pediatric Dentistry)

  • শিশুদের দাঁতের যত্ন ও চিকিৎসা।
  • ফ্লোরাইড ট্রিটমেন্ট ও সিলান্ট প্রয়োগ।

ইমার্জেন্সি ডেন্টাল কেয়ার (Emergency Dental Care)

  • আকস্মিক দাঁতের ব্যথা বা আঘাতের চিকিৎসা।
  • দাঁত ভেঙে গেলে বা পড়ে গেলে তাৎক্ষণিক সমাধান।

ডা. শামস-উল ইসলাম (জাকারিয়া)
Namira Oro Dental Care Bogura

আমাদের প্রধান ডেন্টাল সার্জন ডা. শামস-উল ইসলাম (জাকারিয়া), যিনি অত্যন্ত অভিজ্ঞ এবং দক্ষ একজন বিশেষজ্ঞ।

  • ডিগ্রি: বিডিএস (রংপুর ডেন্টাল কলেজ), পিজিটি (ঢাকা ডেন্টাল কলেজ)।
  • বিশেষ দক্ষতা: অর্থোডন্টিক ট্রিটমেন্ট, ডেন্টাল ইমপ্ল্যান্ট, এবং ম্যাক্সিলোফেসিয়াল সার্জারি।
  • রেজিস্ট্রেশন নং: বিএমডিসি-৯৪৮৯
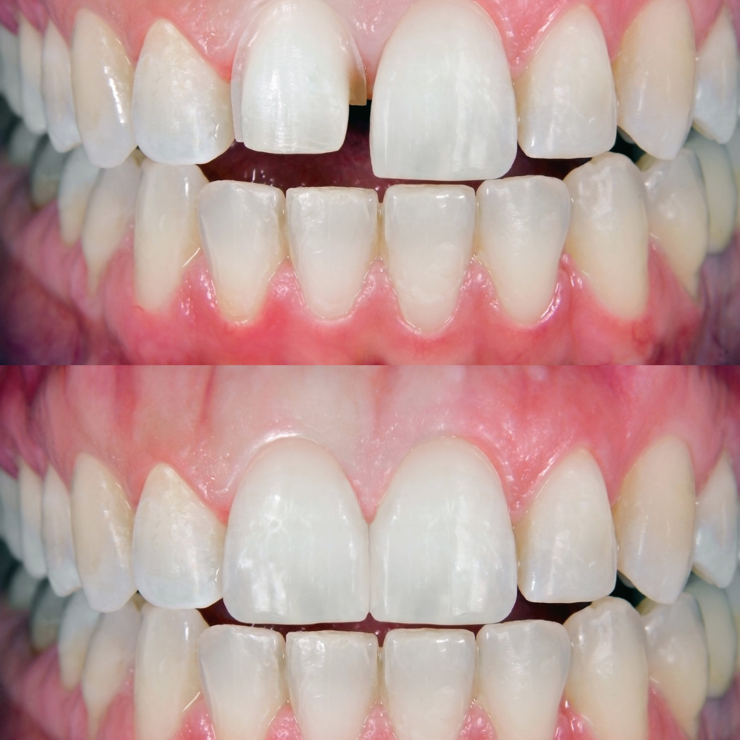
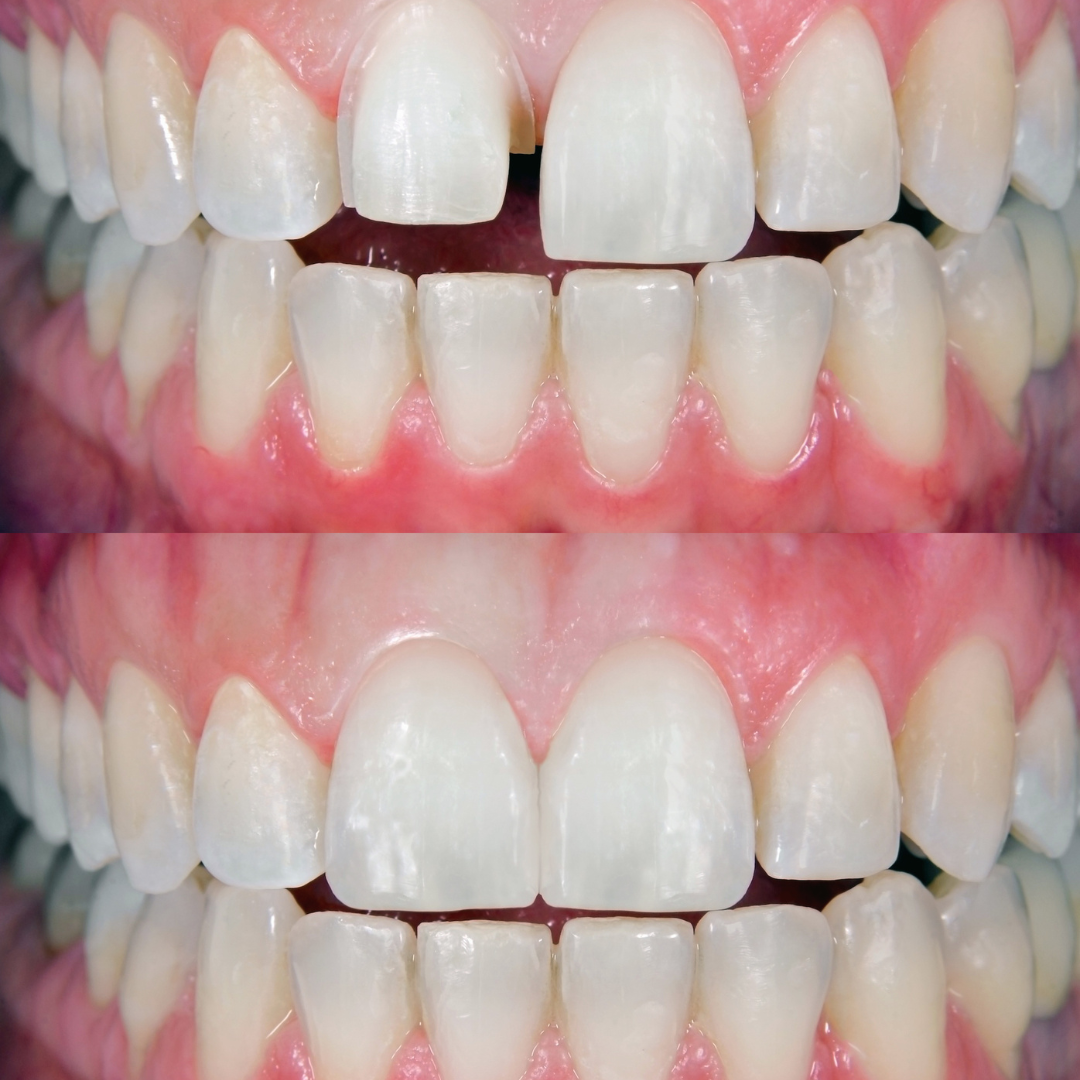
বন্ডিং ট্রিটমেন্ট একটি দাঁতের পুনর্গঠন প্রক্রিয়া!

যা বিশেষ টুথ-কালার রেজিন ব্যবহার করে দাঁতের ফাটল, ক্ষয়, চিপ বা রঙ পরিবর্তন মেরামত করে। এটি দাঁতের ফাঁক বন্ধ করতেও সাহায্য করে।

// Understanding 20 Common Dental Procedures //

Dental Check-ups and Cleaning

Regular dental check-ups form the basis of dental care, involving a detailed examination of the teeth, gums, and mouth.

Oral Cancer Screening

This is a crucial part of a dental check-up.

  • 01 Jan 2025
Fluoride Treatment

To strengthen teeth and prevent decay.

  • 01 jan 2025
Digital X-rays

X-rays are essential in dentistry to detect problems not visible to the naked eye. Digital X-rays, an advancement over traditional methods, use less radiation and provide immediate.

Wisdom Teeth Management

Wisdom teeth, or third molars, often emerge in the

  • 01 Jan 2025
Inlays and Onlays

Also known as indirect fillings, these treatments

  • 01 Jan 2025

// Namira Oro Dental Care Bogura //

// The Different Types of Dental Treatments //

Preventative Dental Treatments

Preventative dental treatments aim to prevent dental problems from occurring in the first place.

Restorative Dental Treatments

Restorative dental treatments aim to restore damaged or decayed teeth to their natural function and appearance.

Cosmetic Dental Treatments

Cosmetic dental treatments aim to improve the appearance of teeth and give patients a more attractive smile.

Orthodontic Dental Treatments

Orthodontic dental treatments aim to straighten teeth and improve bite function. Here are some common orthodontic dental treatments: